Periodoncia
Raspaje y Alisado Radicular
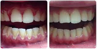
antes y después
El raspado y alisado radicular (RAR) es la técnica que se utiliza para eliminar sarro, placa bacteriana, pigmentaciones además de otros depósitos orgánicos que se encuentran en la superficie dental, tanto a nivel supragingival (encima de la encía), como a nivel subgingival (debajo de la encía).


Raspaje y Alisado Radicular a Campo Abierto
El detartraje a campo abierto es un procedimiento quirúrgico que consiste en abrir o desbridar la encía para eliminar todo el tejido infectado y quitar el sarro que está fuertemente adherido a los dientes.
Gingivectomia y Gingivoplastia
La gingivoplastia, aunque es un tipo de cirugía periodontal muy similar a la gingivectomía, tiene un objetivo distinto: se realiza para remodelar el borde de la encía con el objetivo de lograr un contorno del diente más estético; en ocasiones, se efectúa simultáneamente junto con la gingivectomía.


Clínica Odontológica
Consulte nuestros servicios e inicie su tratamiento ahora con facilidades de pago para toda la familia.

Horario de Atención:
Lunes a Viernes: :700 a.m a 5:30 p.m.
Sábado: 7:00 a.m. a 2:30 p.m.