Ortodoncia Correctiva
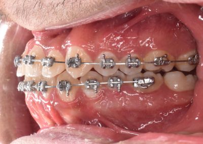
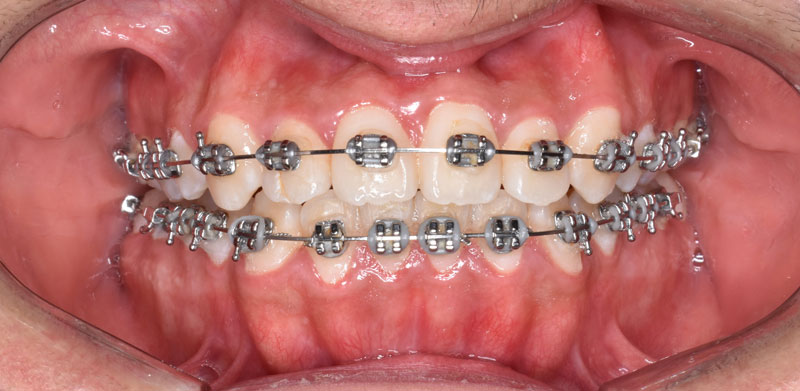
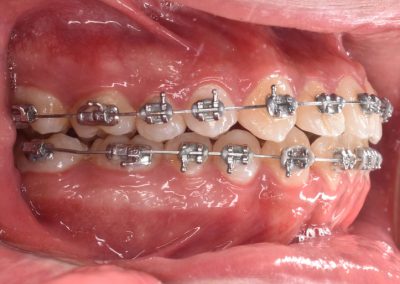
Brackets convencionales,
técnica de Roth – arco recto
Los brackets son los aparatos fijos que se utilizan en Ortodoncia para corregir los defectos en la forma, posición, relación y función de los dientes y los maxilares, la cara y los trastornos funcionales de la masticación.
La técnica del arco recto (SWA) ideada por el Dr. Andrews y perfeccionada por el Dr. Roth consiste en colocar los dientes en una posición ideal a través de arcos rectos que llenen el slot del bracket. Al mismo tiempo, se proporciona inclinación, rotación, torsión y posición in-out dentro del plano oclusal.
Sistema Removible
- Es un sistema que utiliza un juego de placas removibles a la medida del paciente. Estos alineadores pasan prácticamente desapercibidos y reposicionan los dientes para conseguir una sonrisa armoniosa.
- Corrigen malposiciones dentarias leves a moderadas.
Ortodoncia Invisible

Brackets Cerámicos
A parte de que los materiales cerámicos tienen un color muy parecido al blanco natural de los dientes, los brackets fabricados en cerámica son translúcidos: dejan pasar parte de la luz a través de ellos y puede vislumbrarse el esmalte de las zonas que cubren en cada diente.

Ortodoncia Lingual
La ortodoncia lingual, también llamada ortodoncia invisible, es una técnica que permite realizar el tratamiento ortodóncico de alineación de los dientes sin que el aparato que se utiliza pueda ser percibido desde el exterior, ya que los brackets se colocan en el interior de la arcada dental, de modo que la superficie exterior de los dientes quedan completamente libres.
Ortodoncia Preventiva
Es la especialidad odontológica que proporciona el cuidado oral preventivo y terapéutico de los niños y adolescentes (hasta los 12 años), incluyendo aquellos con necesidades especiales.
El equipo de Profesionales Especialistas, maneja un sistema de diagnóstico cefalométrico digital para Ortodoncia; (Vistadent, el cual permite un análisis digital y predicción de crecimiento y desarrollo del paciente).
Los materiales utilizados para Ortodoncia son de marca Unitek 3M, los cuales son de la más alta calidad a nivel mundial y con las mejores normas técnicas.
Clínica Odontológica
Consulte nuestros servicios e inicie su tratamiento ahora con facilidades de pago para toda la familia.
Horario de Atención:
Lunes a Viernes: :700 a.m a 5:30 p.m.
Sábado: 7:00 a.m. a 2:30 p.m.


